미래동물의료센터

외과수술전문클리닉

외과 수술에 특화된
전문 클리닉의 기준을 제시합니다.

일반외과

DEPARTMENT OF
GENERAL SURGERY

일반외과란?

일반외과는 소화기계, 비뇨기계, 간담도계, 호흡기계 등 연부조직 질환을 수술적으로 치료하는 분야입니다.
미래동물의료센터는 진단부터 수술, 회복 관리까지 한 흐름으로 연결해 아이가 덜 아프고 더 안전하게 회복하도록 돕습니다.

작은 이상 신호도 그냥 넘기지 않도록

구토, 식욕저하, 복부 팽만, 배뇨 이상처럼 흔해 보이는 증상 뒤에는
이물, 염증, 결석, 종양 등 수술적 처치가 필요한 문제가 숨어 있을 수 있습니다.

미래동물의료센터 일반외과는 아이의 상태를 먼저 정확히 확인한 뒤,
불필요한 수술은 줄이고 필요한 수술은 안전하게 진행하는 것을 원칙으로 합니다.
수술 전에는 위험도를 평가해 계획을 세우고, 수술 중에는 마취·통증·활력징후를 면밀히 모니터링하며,
수술 후에는 회복 단계에 맞춘 통증 관리와 생활 가이드를 통해 안정적인 회복을 돕습니다.

미래동물의료센터는 아래와 같은
외과 질환들을 다루고 있습니다.

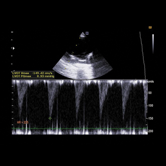
PDA 심장 혈관기형 수술

선천적으로 남아있는 혈관(동맥관) 때문에 심장에 과부하가 생기는 경우, 문제 혈관을 안전하게 교정하는 수술입니다.
빠른 진단과 적절한 수술 시기가 예후에 중요합니다.

SUB 인공요관 수술

요관이 막혀 소변 배출이 어려운 경우, 피하에 우회로를 만들어 신장과 방광의 흐름을 확보하는 수술입니다.
신장 기능을 보호하고 통증 원인을 줄이는 데 도움이 됩니다.

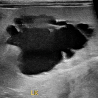
담낭점액낭종 수술

담낭에 점액이 비정상적으로 쌓여 염증이나 파열 위험이 커지는 경우에 시행하는 수술입니다.
상태에 따라 담낭을 제거해 합병증을 예방합니다.

유선종양 수술

유선에 생긴 종괴는 크기와 성질에 따라 수술 범위와 치료 계획이 달라집니다.
절제 후 검사 결과를 기반으로 다음 관리까지 안내해드립니다.

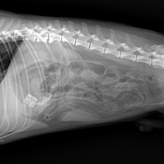
소화기계 수술

구토·식욕저하·복부 통증 같은 증상 뒤에 이물, 장폐색, 종괴 등 수술이 필요한 원인이 숨어 있을 수 있습니다.
정확한 진단 후 필요한 수술을 신중하게 진행합니다.

비뇨기계 수술

배뇨 곤란, 혈뇨, 결석 등 비뇨기 문제는 통증뿐 아니라 신장 기능에도 영향을 줄 수 있습니다.
원인을 확인한 뒤 아이 상태에 맞는 치료를 진행합니다.

중성화 수술

원치 않는 임신을 예방하고, 생식기 관련 질환 위험을 줄이기 위한 기본 수술입니다.
마취 전 평가부터 수술 후 회복 관리까지 꼼꼼히 안내해드립니다.