미래동물의료센터

노령성질환클리닉

노령성 질환은
아이의 남은 시간을 더 편안하게 만드는 진료입니다.

일반외과

GERIATRIC DISEASE CLINIC

노령성 질환 클리닉

노령기에 접어든 반려동물은 한 가지 장기만 아픈 경우가 드뭅니다. 신장, 심장, 호르몬, 대사 기능이 함께 변화하며 작은 증상 하나가 생활의 질을 크게 흔들 수 있습니다.

미래동물의료센터는 증상 하나만 보지 않고
아이의 전반적인 장기 기능과 컨디션을 종합적으로 평가해
지금 가장 부담이 적고 필요한 치료 방향을 제시합니다.

노령기에는 “나이 들어서 그런 것 같아요”라는 말 뒤에
진단과 관리가 필요한 질환이 숨어 있는 경우가 많습니다.
작은 변화일수록 더 신중하게 바라봅니다.

미래동물의료센터는 아래와 같은
노령성 질환들을 다루고 있습니다.

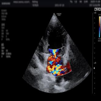
심부전

심부전은 초기에는 기침이나 숨이 차 보이는 증상처럼 일상적인 변화로 시작되는 경우가 많습니다. 하지만 진행될 경우 호흡 곤란과 활동성 저하로 생활의 질에 큰 영향을 미칠 수 있습니다.
심장 기능과 폐 상태를 종합적으로 평가한 뒤 약물 조절과 생활 관리, 보호자가 주의해야 할 신호까지 함께 안내해 아이의 일상이 무너지지 않도록 관리합니다.

신부전

신부전은 노령 반려동물에게 가장 흔하게 나타나는 만성 질환 중 하나입니다. 초기에는 뚜렷한 통증이나 증상이 없어 물 섭취 증가, 소변량 변화, 식욕 저하, 체중 감소로 서서히 나타납니다.

당뇨

당뇨는 혈당 조절이 불안정해질 경우 컨디션 변화가 빠르게 나타날 수 있는 질환입니다. 물을 많이 마시고, 소변량이 늘거나 체중이 감소하는 변화는 노령기 당뇨의 중요한 신호일 수 있습니다.
혈당 수치뿐 아니라 전신 상태와 동반 질환을 함께 평가해 인슐린 조절, 식이 관리, 보호자 모니터링까지 현실적으로 이어질 수 있는 치료 계획을 세웁니다.

호르몬 질환

호르몬 질환은 노령기에 접어들며 피부 변화, 체중 증감, 활력 저하, 음수량 변화 등 다양한 모습으로 나타날 수 있습니다.
검사 수치만을 기준으로 판단하지 않고 아이의 임상 증상과 생활 변화를 함께 고려해 장기적으로 안정적인 관리가 가능한 치료 방향을 설정합니다.