Skip to content
병원 안내
인사말
의료진 소개
주요 장비
오시는 길
진료 안내
외과 수술 전문 클리닉
정형외과
일반외과
진료과목
외과
일반외과
정형외과
내과
응급진료
노령성 질환
신경계 질환
예방 의학
미래 스토리
치료케이스
건강 상식
공지사항
병원 안내
인사말
의료진 소개
주요 장비
오시는 길
진료 안내
외과 수술 전문 클리닉
정형외과
일반외과
진료과목
외과
일반외과
정형외과
내과
응급진료
노령성 질환
신경계 질환
예방 의학
미래 스토리
치료케이스
건강 상식
공지사항
미래동물의료센터
응급진료
365일 진료
응급질환의 신속한 진단과 처치
정형외과
일반외과
응급 전화 :
031-705-2475
응급상황 시 미리 전화 주시면 신속한 응급 처치가 가능합니다.
응급진료는 365일 연중무휴 운영 중이오니,
반려동물에게 응급상황이 발생하면 신속하게 내원해 주시기 바랍니다.
내원 전에 연락 주시는 것을 권장 드립니다.
전화 바로 걸기 (Click !!)
DEPARTMENT OF
EMERGENCY CARE
응급진료란?
응급진료는 갑작스러운 증상 악화나
즉각적인 처치가 필요한 상황에서
아이의 상태를 빠르게 판단하고,
가장 안전한 치료 방향을 결정하는 진료입니다.
미래동물의료센터는 아래와 같은
응급 상황에 대한 집중 진료를 시행합니다.
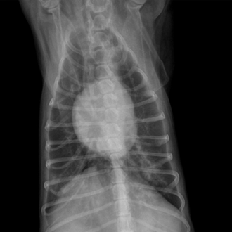
심장 응급 질환
(이첨판 폐쇄부전증 · 폐수종)
심장 기능 저하로 호흡 곤란이나 급성 악화가 발생하는 질환입니다.
빠른 영상·청진 평가 후 즉각적인 안정화 치료가 중요합니다.
치료 케이스 보기
신경계 응급
(경련 · 의식 저하)
경련은 단일 증상이 아닌, 뇌·대사 이상이 원인일 수 있습니다.
원인 감별과 재발 방지를 위한 신속한 대응이 필요합니다.
치료 케이스 보기
산과·생식기 응급
(자궁축농증 · 제왕절개)
패혈증이나 태아·모체 위험으로 이어질 수 있는 응급 상황입니다. 수술 시기 판단과 마취·회복 관리가 예후를 좌우합니다.
치료 케이스 보기
소화기계 응급
(위확장염전증)
위가 급격히 팽창·염전되며 생명을 위협하는 질환입니다.
시간 지연 없이 감압과 수술 여부를 결정해야 합니다.
치료 케이스 보기
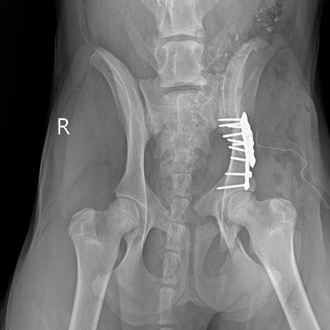
외상 응급
(교통사고)
출혈, 장기 손상, 골절 등 복합 손상이 동반될 수 있습니다.
전신 상태 평가 후 단계적인 치료 계획이 필요합니다.
치료 케이스 보기