안녕하세요. 분당 동물병원 미래동물의료센터입니다.
TPLO 수술은 십자인대가 파열된 무릎을 구조적으로 안정시키는 수술입니다. 그래서 보호자분들께서는 “수술했으니 이제 끝이겠지요.” 라고 생각하기 쉽습니다. 하지만 실제 진료 현장에서는 TPLO 수술 이후 반대쪽 다리의 십자인대 파열로 다시 내원하는 경우를 적지 않게 마주하게 됩니다. 이 문제는 수술이 잘못돼서도, 회복이 실패해서도 아닙니다. 이미 그 이전부터 몸 전체에 만들어진 변화가 시간을 두고 드러나는 과정에 가깝습니다.

이미 시작된 양측성 부담
십자인대 파열은 갑작스러운 사고처럼 보이지만, 대부분은 오랜 시간 누적된 부담의 결과입니다. 한쪽 무릎이 불안정해지는 순간부터 강아지는 본능적으로 반대쪽 다리에 체중을 더 싣기 시작합니다. 눈에 띄는 절뚝거림이 없어도 보행 속도, 앉았다 일어나는 동작에는 이미 변화가 생깁니다.
이때 반대쪽 다리는 ‘정상 다리’가 아니라 대신 버티는 다리가 됩니다. TPLO 수술은 문제가 생긴 한쪽을 바로잡지만, 그동안 누적된 반대쪽 관절의 피로까지 되돌려주지는 못합니다.
체중 분산 패턴은 쉽게 돌아오지 않습니다
수술 후 회복이 진행되면 강아지는 점점 수술한 다리를 다시 사용하게 됩니다. 하지만 이 과정이 곧바로 대칭적인 보행을 의미하지는 않습니다. 수술 전부터 굳어진 보행 습관과 체중 분산 패턴은 회복 이후에도 상당 기간 유지되는 경우가 많습니다.
이 절뚝거림이 오래 지속됐던 아이일수록 반대쪽 무릎에는 정상 범위를 넘어선 하중이 반복적으로 가해집니다. 이 상태가 누적되면 작은 미끄러짐이나 방향 전환만으로도 십자인대 파열이 발생할 수 있습니다.

근육 불균형이 남기는 영향
십자인대는 근육과 함께 무릎을 지탱합니다. 하지만 수술 전후를 거치며 강아지의 근육 사용 방식은 크게 달라집니다. 아픈 다리를 피하는 과정, 회복 과정에서의 제한된 사용은 양쪽 뒷다리 모두에 근육 불균형을 남길 수 있습니다. 근육이 관절을 충분히 지지하지 못하면 그 부담은 다시 십자인대로 집중됩니다. 반대쪽 다리는 이 불균형의 영향을 가장 직접적으로 받게 됩니다.
관절 환경은 한쪽만의 문제가 아닙니다
TPLO 수술은 뼈의 각도를 조정해 기계적인 안정성을 확보하는 수술입니다. 하지만 관절 내부 환경까지 완전히 초기 상태로 되돌리지는 못합니다. 염증 반응, 관절액 변화, 미세한 연골 손상은 수술 이후에도 서서히 진행될 수 있습니다. 체중 이동과 보행 변화로 인해 이 영향은 반대쪽 무릎에도 함께 전달됩니다. 결국 한쪽에서 시작된 문제는 시간을 두고 양쪽 관절의 문제로 확장될 수 있습니다.
시간차로 나타나는 반대쪽 파열
TPLO 수술 후 반대쪽 다리의 십자인대 파열은 대개 수개월에서 1~2년 사이에 발생합니다. 이 시간차 때문에 “왜 갑자기 반대쪽이?”라고 느끼지만, 임상적으로는 이미 예측 가능한 흐름 안에 있는 변화입니다. 수술 전부터 시작된 부담이 수술 이후에도 완전히 차단되지 않았기 때문입니다.

강아지 양측 십자인대 TPLO 수술 케이스

환자는 8살의 중성화된 여아 비숑이 간헐적인 좌측 후지 파행을 보이며 내원했습니다. 파행은 약 2주 정도 지속된 상태였습니다.
검사 및 진단 과정
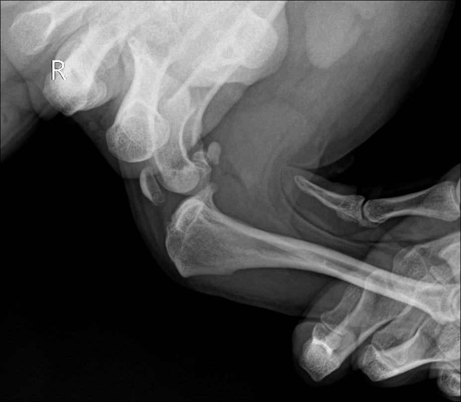
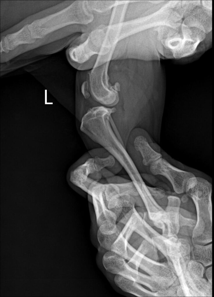
X-ray 검사


십자인대 파열된 우측/ 좌측 방사선 사진 / 출처: 미래동물의료센터
엑스레이 검사상 무릎 관절에서 drawer sign이 관찰되었으며, 십자인대 파열로 진단되었습니다. 처음 내원 당시에는 좌측 십자인대 파열로 진단되어 TPLO 수술을 진행하였고, 수술 후에는 비교적 안정적인 보행 상태를 유지하며 잘 지내던 환자였습니다.
그러나 좌측 TPLO 수술 후 수개월 경과 뒤, 반대쪽인 우측 후지에서 다시 파행이 발생하였고, 검사 결과 우측 십자인대 파열이 확인되어 우측 십자인대 TPLO 수술까지 진행하게 되었습니다.
➡️ 위 임상 소견과 영상 검사 결과를 종합하여 양측 십자인대 파열로 진단하였습니다.
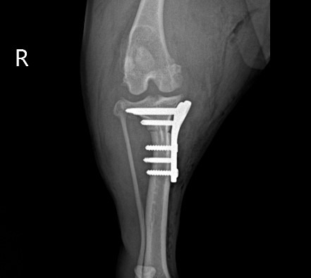
TPLO 수술
호흡 마취하에 TPLO 수술을 시행하였습니다.

미래동물의료센터는 수술 전 시뮬레이션 프로그램을 통해 사용할 스크류와 플레이트의 크기,
경골 절골 후 각도 및 거리 변화를 미리 계산한 뒤 수술을 진행했습니다.

환자 수술 사진/ 출처: 미래동물의료센터
수술은 계획대로 안정적으로 마무리되었으며, 수술 직후에는 통증과 염증 반응을 최소화하기 위한 집중적인 진통 및 항염 처치를 병행했습니다.

수술 후 방사선 사진 / 출처: 미래동물의료센터
수술 후에는 절개 부위 보호와 관절 안정화를 위해 초기 활동 제한과 절대 안정을 유지했으며, 입원 기간 동안 통증 반응과 보행 상태, 전신 컨디션을 지속적으로 모니터링했습니다. 환자의 수술 후 보행 상태는 매우 원활하게 회복되었습니다.
비숑은 십자인대 파열에 취약한 품종적 소인을 가지고 있습니다. 특히 비만이 있거나 활동량이 많은 경우 십자인대 파열 위험이 더욱 높아질 수 있으며, 한쪽 십자인대 파열이 있었던 아이들은 시간이 지나 반대쪽 십자인대 파열로 이어져 추가 수술이 필요한 경우도 적지 않습니다. 따라서 체중 관리와 장기적인 관절 관리가 매우 중요한 케이스였습니다.
수술 이후, 함께 봐야 할 것들
TPLO 수술 이후의 관리는 수술한 다리만 보는 접근으로는 부족합니다. 보행 변화, 체중 분산, 근육 사용 패턴을 함께 살피며 반대쪽 무릎의 위험 신호를 미리 확인하는 과정이 중요합니다. 가벼운 보행 비대칭, 앉는 자세의 변화, 산책 후 회복 속도 저하는 이미 반대쪽 관절이 한계에 가까워지고 있다는 신호일 수 있습니다. 이 시점에서의 관리가 두 번째 수술로 이어질지, 예방으로 끝날지를 가르는 경우가 많습니다.
‘무릎 하나’가 아닌 ‘보행 전체’
TPLO 수술은 무릎 하나만 고치는 수술이 아닙니다. 강아지의 몸 전체가 어떻게 다시 균형을 찾아가는지를 함께 고려해야 하는 과정입니다. 반대쪽 다리의 파열은 예외가 아니라, 이미 만들어진 흐름의 결과일 수 있습니다. 그래서 수술 이후의 관리는 ‘회복이 끝났는가’가 아니라 ‘몸이 다시 균형을 찾고 있는가’를 기준으로 바라봐야 합니다.

반려동물 외과 수술 전문, 분당 미래동물의료센터
분당 미래동물의료센터는 수술한 다리뿐 아니라 반대쪽 다리와 보행 전체를 함께 평가하며, 십자인대 파열이 반복되지 않도록 회복 이후의 흐름까지 살핍니다. 지금은 괜찮아 보이지만 한쪽 다리를 더 쓰는 것 같거나 산책 후 회복이 느려졌다면 이미 몸은 신호를 보내고 있을 수 있습니다. 두 번째 파열이 문제가 되기 전에 현재 상태에 대한 점검과 상담을 권장드립니다.
📍 분당 미래동물의료센터
주소: 경기 성남시 분당구 서현로255번길 1
전화번호: 031-705-2475
진료시간 — 365일 연중무휴
· 일반진료: 오전 9시 30분 ~ 오후 8시 30분
· 응급진료: 오후 8시 30분 ~ 오후 11시