안녕하세요. 분당 동물병원 미래동물의료센터입니다.
고양이가 화장실을 자주 드나들거나소변을 보는 시간이 길어졌다면 단순한 배변 습관 변화로 넘기기보다 하부요로 질환을 먼저 의심해보셔야 합니다. 고양이 방광염은 초기에는 비교적 가벼운 증상으로 시작하지만, 진행 과정에 따라 요도폐색이라는 응급 상황으로 이어질 수 있는 질환입니다. 방광염이 어떻게 요도폐색으로 진행되는지, 그리고 어느 시점부터 위험 신호로 봐야 하는지를 단계별로 살펴보겠습니다.

고양이 방광염과 요도폐색의 관계
고양이 방광염은 방광 점막에 염증이 생기는 질환으로, 세균 감염뿐 아니라 스트레스, 수분 섭취 부족, 결정 형성, 특발성 요인 등 다양한 원인이 관여합니다. 이 과정에서 방광 점막이 자극을 받으면 염증 반응으로 점액과 세포 찌꺼기가 증가하고, 소변 내 결정이나 침전물과 섞이면서 요도를 막을 수 있는 물질이 만들어집니다.
특히 수컷 고양이는 요도가 길고 좁아 이러한 물질이 조금만 형성돼도 배출 통로가 쉽게 막힐 수 있습니다. 방광염 → 요도 자극 및 부종 → 요도 내 물질 축적 → 요도폐색이라는 흐름으로 진행됩니다.

요도폐색으로 진행되는 시점의 변화
방광염이 악화되면 소변 배출 통로인 요도가 점점 좁아지며 변화가 나타납니다. 화장실을 여러 번 드나들지만 소변이 거의 나오지 않거나 전혀 배출되지 않는 상태가 반복됩니다. 배뇨 시 통증으로 인해 울음소리를 내거나 배를 웅크리고 긴장된 자세를 유지하기도 합니다.
소변이 방광에 계속 차게 되면 복부가 단단하게 만져지고 고양이는 점점 무기력해집니다. 이 단계부터는 단순한 방광염이 아닌 요도폐색 전 단계 또는 초기 폐색 상태로 판단해야 합니다.
요도폐색이 위험한 이유
요도폐색은 소변이 배출되지 않으면서 체내 노폐물이 빠져나가지 못하는 상태입니다. 시간이 지날수록 혈중 칼륨 수치 상승, 요독 축적, 산-염기 불균형이 발생하며 심장 기능 이상으로 이어질 수 있습니다. 특히 24~48시간 이상 폐색이 지속되면 생명에 직접적인 위협이 되는 응급 상황으로 진행될 수 있습니다. 그래서 요도폐색은 ‘조금 더 지켜보자’는 선택이 허용되지 않는 질환입니다.

요도폐색으로 이어지는 변화
고양이 방광염이 모두 즉시 요도폐색으로 이어지는 것은 아닙니다. 하지만 방광 내 염증이 지속되는 동안 소변 성분 변화와 요도 점막 부종이 반복되면 폐색으로 진행될 가능성은 점점 높아집니다. 초기에는 염증으로 인해 소변을 볼 때 따끔거림이나 불편감이 나타나며 배뇨 횟수는 늘지만 아직 소변 배출 자체는 유지되는 경우가 많습니다.
이 상태가 수일 이상 지속되면 방광 내 점액, 세포 찌꺼기, 결정 성분이 증가하면서 요도 입구에 부분적인 막힘이 생기기 시작합니다. 이 단계에서는 소변량이 눈에 띄게 줄고 배뇨 시간이 길어지는 변화가 나타납니다. 이후 요도 점막 부종이 심해지고 침전물이 완전히 통로를 막게 되면 짧은 시간 안에 급성 요도폐색으로 전환될 수 있습니다.
중요한 점은 이 모든 과정이 보호자가 생각하는 것보다 훨씬 빠르게 진행될 수 있다는 점입니다. 특히 수컷 고양이에서는 부분 폐색 상태에서 하루 이내에 완전 폐색으로 이어지는 경우도 적지 않습니다.
실제 케이스로 보는 고양이 요도폐색
2살 중성화 수컷 노르웨이 숲 고양이가 배뇨 이상 행동이 나타나 내원했습니다. 보호자님 말씀에 따르면 전날 오전을 마지막으로 소변을 본 이후 화장실을 자주 드나들지만 실제 배뇨가 거의 이루어지지 않는 상태가 지속되었습니다.
배변은 비교적 정상적으로 유지되고 있었으나, 밤사이 증상이 더 심해지며 화장실에 오래 머무르거나 배뇨 자세를 반복적으로 취하는 모습이 관찰되었습니다. 이처럼 소변이 잘 나오지 않는데 화장실을 반복적으로 오가는 행동은 고양이 하부요로 질환(FLUTD), 요도 폐색의 초기 신호일 수 있어 신속한 평가가 반드시 필요합니다.
검사 및 진단
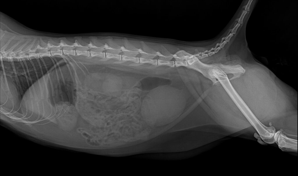
내원 후 환자는 복부 방사선 검사와 복부 초음파 검사를 진행했습니다. 복부 방사선 검사에서는 방광이 정상 범위를 넘어 심하게 팽대된 소견이 확인되었습니다.

환자의 복부 방사선 검사 / 출처: 미래동물의료센터
이어 시행한 복부 초음파 검사에서는 방광 내부에 다량의 슬러지가 관찰되었고, 슬러지가 방광 내에 넓게 분포된 상태였습니다.
방광 팽대 역시 매우 뚜렷하게 확인되었습니다. 다행히 양측 신장은 수신증 소견 없이 형태와 구조가 양호한 상태로 평가되었습니다.

환자의 복부 초음파 검사 / 출처: 미래동물의료센터

환자의 방광에서 천자한 혈뇨 / 출처: 미래동물의료센터
이러한 검사 결과를 종합해 본 환자는 요도 폐색 위험이 동반된 고양이 하부요로 질환(FLUTD)으로 진단되었습니다.
고양이 하부요로계질환 치료
해당 환자는 이미 방광 팽대가 심한 상태였고 요도 폐색으로 진행될 가능성이 높아 즉각적인 처치가 필요했습니다. 진정제 투여 후 마취 하에 톰캣 요도 카테터를 장착해 요도 내 슬러지를 제거하고 소변 배출 통로를 확보했습니다.
이후 입원 치료를 진행하며 배뇨 상태를 지속적으로 모니터링했고, 수액 처치와 항생제 치료를 병행해 방광 내 염증과 요로 자극을 안정화했습니다. 입원 기간 동안 소변 배출량과 방광 크기, 전반적인 컨디션 변화를 면밀히 관찰했습니다.
입원 7일차에 톰캣 요도 카테터를 제거한 뒤 자발 배뇨 여부를 집중적으로 모니터링했습니다. 카테터 제거 후에는 복부 방사선 검사와 복부 초음파 검사를 추가로 시행해 방광과 요로 상태를 재평가했습니다.

환자 치료 후 복부방사선 사진/ 출처: 미래 동물의료센터

환자의 치료 후 복부 초음파 사진/ 출처: 미래동물의료센터
두 영상 검사 모두 이전에 심하게 팽대되어 있던 방광이 뚜렷하게 줄어든 소견이 확인되었으며 요도 폐색 소견 없이 자발 배뇨가
원활하게 이루어지고 있음을 확인할 수 있었습니다.


환자의 자발 배뇨 확인 사진 / 출처: 미래동물의료센터
원내 관찰 결과 자발 배뇨가 원활하게 이루어지는 것이 확인되었고, 전반적인 상태가 안정적으로 유지되어 내복약 처방 후 통원 치료로 전환하기로 결정했습니다.
퇴원 후 재진
퇴원 일주일 후 방광 초음파 재진 검사를 시행했습니다. 검사 결과 방광 내부에 슬러지가 경미하게 남아 있는 소견은 확인되었지만자발 배뇨가 원활하게 유지되고 있었습니다.

퇴원 일주일 후 방광초음파 검사 / 출처: 미래동물의료센터
이에 따라 추가적인 침습적 처치는 진행하지 않고, 요로 건강을 보조하는 영양제와 충분한 음수량 확보를 중심으로 관리 계획을 이어가기로 했습니다.
고양이 요도 폐색 병력이 있는 경우 재발 위험이 높은 편이기 때문에, 단기적인 증상 호전뿐 아니라 생활 환경 관리와 정기적인 추적 검사가 매우 중요합니다. 본 환자 역시 상태 변화에 따라 맞춤형 관리와 정기적인 모니터링을 지속할 예정입니다.
보호자가 알아야 할 위험 신호
다음과 같은 증상이 보인다면 즉시 병원 진료가 필요합니다.
✅ 화장실에 자주 가지만 소변이 거의 나오지 않는 경우
✅ 배뇨 자세를 오래 유지하며 힘을 주는 모습
✅ 배를 만졌을 때 단단하게 느껴지는 경우
✅ 식욕 저하, 무기력, 숨는 행동 증가
✅ 이유 없이 울거나 공격적인 반응을 보이는 경우
이 신호들은 이미 방광염을 넘어 요도폐색으로 진행 중일 가능성을 시사합니다.

반려동물 외과 수술 전문, 분당 미래동물의료센터
고양이 방광염과 요도폐색 관리의 핵심은 단순히 소변을 나오게 하는 처치에 그치지 않습니다. 왜 방광염이 반복되는지, 어느 단계에서 요도폐색으로 진행했는지, 그리고 재발을 막기 위해 무엇이 필요한지를 함께 평가하는 것이 중요합니다.
미래동물의료센터는 하부요로 질환에 대해 증상 완화 중심의 접근이 아닌, 원인 분석과 재발 위험 관리에 초점을 둔 진료 방향을 지향합니다. 고양이의 배뇨 변화는 작은 신호처럼 보이지만 예후를 크게 좌우하는 중요한 시작점이 될 수 있습니다.
소변 습관에 변화가 느껴진다면 지켜보기보다 정확한 평가를 통해 아이에게 필요한 조치를 함께 결정하시기 바랍니다. 분당 동물병원 미래동물의료센터가 그 과정에 함께하겠습니다.
📍 분당 미래동물의료센터
주소: 경기 성남시 분당구 서현로255번길 1
전화번호: 031-705-2475
진료시간 — 365일 연중무휴
· 일반진료: 오전 9시 30분 ~ 오후 8시 30분
· 응급진료: 오후 8시 30분 ~ 오후 11시
