안녕하세요. 분당 동물병원 미래동물의료센터입니다.
강아지 TPLO 수술은 십자인대 파열로 불안정해진 무릎을 구조적으로 안정화시키는 효과적인 치료입니다. 하지만 수술 결과를 좌우하는 것은 수술 그 자체보다 수술 후 회복관리입니다. 오늘은 실제 TPLO 수술 케이스를 바탕으로 회복 속도를 높이고 합병증을 줄이기 위해 보호자가 꼭 확인해야 할 관리 포인트를 살펴보겠습니다.

TPLO 수술 후 회복관리가 중요한 이유
강아지 TPLO 수술은 경골을 절골해 각도를 교정하는 수술로, 수술 후 일정 기간 동안 뼈가 단단히 붙는 골 유합 과정이 필요합니다. 이 시기에 관리가 부족하면 통증 재발, 보행 악화, 수술 부위 불안정으로 이어질 수 있습니다. 따라서 회복 단계별로 주의해야 할 기준을 지키는 것이 중요합니다.
실제 케이스로 보는 TPLO 수술과 회복 과정

7살 중성화 암컷 강아지가 갑작스러운 우측 후지 파행으로 내원했습니다.
보호자님 말씀에 따르면 두 시간 전 침대 위로 뛰어오른 직후부터 우측 뒷다리를 들고 걷기 시작했고, 이전에는 비슷한 증상이 전혀 없던 상태였습니다
검사 및 진단 과정
무릎 관절 촉진 결과, 우측 슬개골 탈구 2~3기가 확인되었으며 관절의 전반적인 안정성이 떨어진 상태였습니다. 또한 십자인대 drawer test 검사에서 경골이 비정상적으로 전방 이동하는 소견이 확인되어 전방십자인대 파열로 진단했습니다.
보행 관찰 시 우측 후지를 전혀 딛지 못하는 non-weight bearing lameness(통증과 관절 불안정으로 인해 아픈 다리에
체중을 전혀 싣지 못하고 드는 상태)가 관찰되었습니다. 엑스레이 검사에서도 아래쪽 경골이 앞쪽으로 밀리는 drawer sign이 명확히 확인되었습니다.

수술 전 엑스레이 사진 / 출처: 미래동물의료센터
혈액검사상 요폐색 소견은 있었으나 신장 수치는 다행히 양호해 수술 진행이 가능하다고 판단했습니다.

수술 전 시뮬레이터 사진 / 출처: 미래동물의료센터
미래동물의료센터에서는 TPLO 수술 전 시뮬레이션 프로그램을 활용해
사용할 플레이트와 스크류의 크기, 경골의 회전 각도와 이동 거리를 미리 계산한 뒤 수술을 계획합니다.
치료 과정
호흡 마취하에 TPLO 수술과 슬개골 활차구 성형술을 동시에 진행했습니다. 무릎 관절의 불안정성과 슬개골 정렬 문제를 함께 교정해 보행 회복과 재발 위험을 동시에 고려한 치료 계획이었습니다.

환자 수술 사진 / 출처: 미래동물의료센터
수술은 사전에 수립한 시뮬레이션 계획을 바탕으로 정확하고 안정적으로 진행되었으며, 수술 직후에는 통증과 염증 반응을 최소화하기 위해 환자 상태에 맞춘 진통·항염 처치를 집중적으로 시행했습니다.


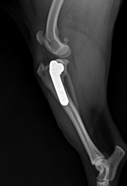
수술 후 엑스레이 사진 / 출처: 미래동물의료센터
수술 후 비교적 빠른 시기부터 보행이 점차 안정적으로 회복되는 모습을 보였으며, 통증 조절과 회복 반응도 양호한 편이었습니다.
다만 TPLO 수술 특성상 뼈의 안정적인 골 유합까지 약 2개월이 소요되기 때문에, 이 기간 동안은 점프, 계단 오르내리기, 과도한 활동은 반드시 제한이 필요합니다. 보호자님께는 퇴원 시 정해진 기간 동안의 활동 관리와 재활 스케줄의 중요성을 충분히 안내드렸으며, 정기적인 경과 확인을 통해 장기적인 관절 안정성과 보행 회복을 지속적으로 관리할 계획입니다.
강아지 TPLO 수술 후 빠른 회복을 위한 필수 체크사항
1. 수술 직후 1–2주, 보행 가능해도 안심하지 않기
TPLO 수술 후 비교적 이른 시기에 보행이 가능해지는 경우가 많습니다. 하지만 이는 뼈가 완전히 붙어서가 아니라 관절 안정성이 일시적으로 확보된 상태입니다. 잘 걷는다고 활동을 늘리면 회복에 오히려 방해가 됩니다.
2. 최소 6–8주간 과도한 움직임 제한
골 유합까지는 보통 약 2개월이 필요합니다. 이 기간 동안에는 점프, 계단, 달리기, 미끄러운 바닥에서의 활동을 반드시 제한해야 합니다. 실내에서도 짧고 통제된 보행만 허용하는 것이 좋습니다.
3. 통증 관리와 처방약 정확히 지키기
수술 후 통증을 참게 두면 강아지는 다른 다리에 체중을 과도하게 실어 추가 관절 문제를 만들 수 있습니다. 처방된 진통제와 항염제는 임의로 중단하지 말고 지시된 기간 동안 정확히 투여해야 합니다.

4. 수술 부위 상태 매일 확인하기
강아지의 수술 부위가 과도하게 붓거나 열감, 분비물이 생기는 경우에는 즉시 병원에 연락해야 합니다. 넥카라 착용을 통해 핥거나 긁는 행동을 반드시 제한해야 합니다.
5. 체중 관리로 무릎 부담 줄이기
강아지의 체중이 늘수록 수술한 무릎에 가해지는 하중도 증가합니다. 회복기에는 간식 섭취를 줄이고 적정 체중을 유지하는 것이 회복 속도에 큰 영향을 줍니다. 또한 골 유합이 정상적으로 진행되는지 확인하기 위해 정기적인 내원과 엑스레이 검사가 필요합니다. 이 과정을 통해 활동 범위를 단계적으로 늘릴 수 있습니다.

TPLO 수술, 회복 관리가 결과를 결정합니다
이번 케이스에서도 수술 후 비교적 빠른 시기에 보행이 원활해졌지만, 골 유합이 완료되는 약 2개월 동안은 과도한 움직임을 철저히 제한하며 회복 관리를 진행하고 있습니다. TPLO 수술의 성공은 수술실을 나선 뒤부터 보호자와 함께 완성됩니다.

반려동물 외과 수술 전문, 분당 미래동물의료센터
대학병원 출신 의료진의 분과별 전문 진료 시스템을 갖춘 미래동물의료센터는 관절 질환으로 불편함을 겪는 반려견에게 정확한 평가와 체계적인 치료 방향을 제시합니다. 미래동물의료센터는 소중한 아이들의 행복한 미래를 위하여 오늘도 최선을 다하고 있습니다.
슬개골 탈구, 전십자인대 손상, 고관절 질환 등 다양한 정형외과 문제에 대해세밀한 진단과 아이의 상태에 맞춘 개별 치료 전략을 마련하며, 불필요한 통증을 최소화하고 기능 회복을 돕는 것을 가장 중요한 목표로 삼고 있습니다.
반려견의 관절 건강, 오늘의 선택이 미래의 삶을 바꿉니다.
미래동물의료센터가 그 길을 함께하겠습니다.
📍 분당 미래동물의료센터
주소: 경기 성남시 분당구 서현로255번길 1
전화번호: 031-705-2475
진료시간 — 365일 연중무휴
· 일반진료: 오전 9시 30분 ~ 오후 8시 30분
· 응급진료: 오후 8시 30분 ~ 오후 11시