안녕하세요. 분당 동물병원 미래동물의료센터입니다.
강아지 슬개골 탈구는 수술이 필요한 질환으로 알려져 있지만, 모든 경우가 갑자기 발생하는 것은 아닙니다. 말티즈, 포메라니안, 푸들 같은 소형견에서는 생활 습관 속 작은 반복이 탈구의 진행 속도를 빠르게 만들 수 있습니다. 이번 콘텐츠에서는 실제 슬개골 탈구 3기 진단 후 수술을 진행한 케이스를 바탕으로, 일상에서 관리로 막아볼 수 있는 행동 7가지를 살펴보겠습니다.

소형견 슬개골 탈구는 왜 생활 습관이 중요할까요
소형견 슬개골 탈구는 유전적 요인이 큰 질환이지만, 무릎 관절에 반복적으로 가해지는 회전·충격·미끄러짐이 더해지면 탈구 단계가 빠르게 진행될 수 있습니다. 실제로 내원하는 아이들 중에는 보행이 비교적 정상인데도 촉진 검사에서 이미 3기 이상으로 진행된 경우도 적지 않습니다.
실제 케이스로 보는 슬개골 탈구 진행 과정

이번에 소개드릴 케이스는 3살 중성화 수컷 말티즈로, 타 병원에서 좌측 슬개골 탈구 진단을 받은 뒤 수술 상담을 위해 내원한 사례입니다.
보호자님 말씀에 따르면 평소 산책이나 실내 보행은 비교적 자연스러웠고, 뚜렷한 통증 반응보다는간헐적으로 다리를 살짝 들었다가 다시 걷는 모습이 관찰되던 상태였습니다. 이처럼 슬개골 탈구는 겉으로 보기에는 잘 걷는 것처럼 보여 생활 속에서 대수롭지 않게 지나치기 쉽습니다.
내원 당시 검사 및 진단 과정
원내에서는 먼저 보행 평가를 통해 아이의 걸음걸이와 다리 사용 패턴을 확인했습니다. 보행 자체는 비교적 원활했지만, 촉진 검사에서 좌측 무릎의 슬개골이 내측으로 벗어나는 슬개골 탈구 3기가 명확히 확인되었습니다. 이는 이미 생활 관리만으로는 진행을 되돌리기 어려운 단계에 해당합니다.
마취 전 검사 및 수술 준비
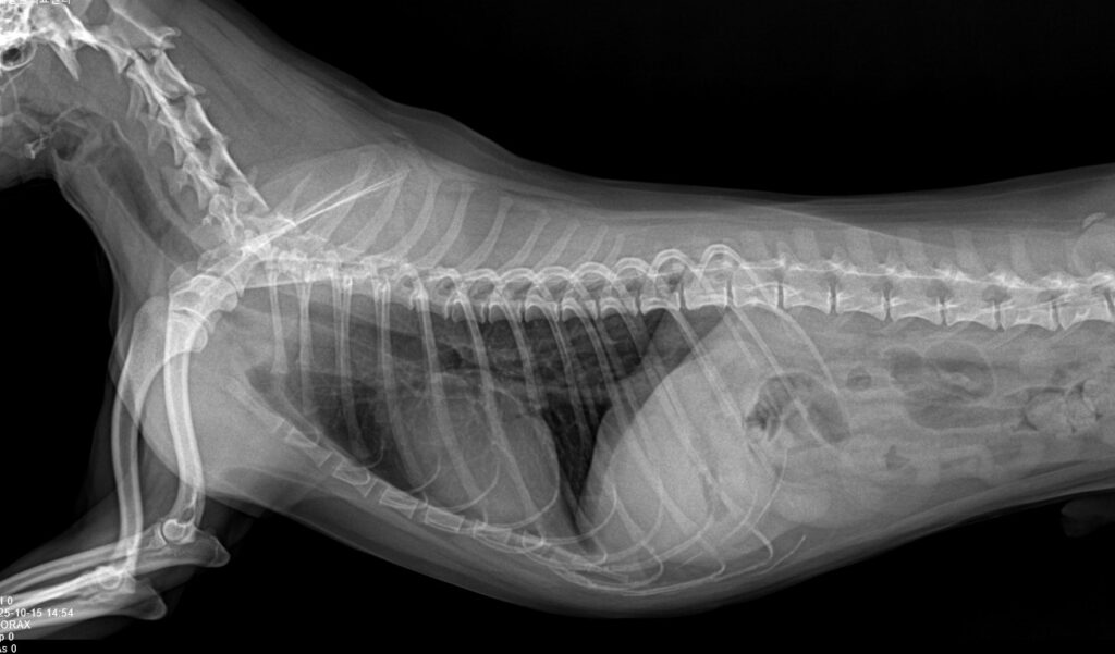
수술을 결정하기에 앞서 마취 전 혈액검사와 흉부 엑스레이 촬영을 통해 전신 상태를 먼저 평가했습니다. 간·신장 수치, 혈구 수치,흉부 상태 모두에서 특이 소견은 관찰되지 않았으며, 전신 마취 및 수술을 진행하기에 무리가 없는 상태로 판단되었습니다. 이 단계는 수술 그 자체만큼이나 중요한 과정으로, 아이의 안전을 위한 필수 절차입니다.


환자 마취 전 혈액검사 / 출처: 미래동물의료센터

환자 흉부 방사선 검사/ 출처: 미래동물의료센터
치료 방향 결정과 수술 진행
종합적인 신체검사와 영상 진단 결과를 바탕으로 해당 환자는 좌측 슬개골 탈구에 대한 수술적 교정이 필요한 상태로 판단되었습니다. 수술은 전신 상태를 면밀히 평가한 후 호흡 마취(흡입 마취) 하에 안전하게 진행하였습니다.
마취 전 혈액검사와 기본 활력 평가를 통해 마취 위험 요소를 사전에 점검하였으며, 수술 중에는 마취 깊이, 호흡 상태, 심박수, 산소포화도 등을 지속적으로 모니터링하며 안정적인 마취 관리를 시행하였습니다.

환자 마취 진행 사진/ 출처: 미래동물의료센터
본 수술에서는 얕아진 무릎 고랑을 깊게 만들어 슬개골이 정상 위치에서 안정적으로 움직일 수 있도록 하는 활차구 성형술을 우선적으로 시행하였습니다.

수술 전 환자의 얕은 활차구 사진(좌) / 활차구 성형술 사진(우) / 출처: 미래동물의료센터
또한 슬개골 탈구 3기 이상에서 흔히 동반되는 정강이뼈의 정렬 이상을 교정하기 위해 경골조면이동술을 함께 진행하여 슬개골에 가해지는 비정상적인 당김을 근본적으로 개선하였습니다. 아울러 관절낭이 늘어나 무릎 관절의 전반적인 안정성이 저하된 상태였기 때문에 관절낭 성형술을 병행하여 수술 후 재탈구 가능성을 낮추는 방향으로 수술을 마무리하였습니다.
수술 후 확인과 회복 과정
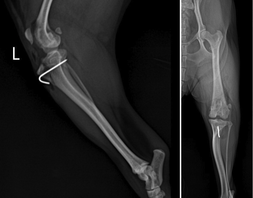
수술 후에는 후지 엑스레이 촬영을 통해 슬개골의 위치와 무릎 관절 정렬 상태를 다시 확인했습니다.

수술 후 방사선 사진 / 출처: 미래동물의료센터
수술 전 내측으로 벗어나 있던 슬개골이 대퇴골 고랑 안에 안정적으로 위치해 있었으며, 정강이뼈 정렬 역시 의도한 방향으로 교정된 것을 확인할 수 있었습니다. 현재는 입원 치료를 마친 뒤 퇴원하여 통원 관리와 함께 재활 및 회복 과정을 이어가고 있으며, 보행 상태와 관절 안정성을 지속적으로 관찰하며 단계적인 회복 관리가 진행 중입니다.
생활 습관에서 막을 수 있는 행동 7가지
1. 소파·침대에서 자유롭게 뛰어내리게 두지 않기
소형견이 높은 곳에서 뛰어내릴 때 무릎에는 체중의 몇 배에 달하는 충격이 가해집니다. 이 충격이 반복되면 슬개골을 지지하는 구조가 점점 느슨해질 수 있습니다. 계단이나 경사로를 사용하는 습관이 중요합니다.
2. 미끄러운 바닥에서 달리게 두지 않기
미끄러운 바닥은 관절에 비틀림 힘을 발생시킵니다. 특히 급하게 방향을 바꾸는 순간 슬개골이 안쪽으로 밀리며 탈구가 악화될 수 있습니다. 거실과 복도에는 미끄럼 방지 매트가 도움이 됩니다.
3. 발바닥 털과 발톱 방치하지 않기
강아지 발바닥 털이 길면 바닥과의 접지력이 떨어집니다. 발톱이 길어도 보행 각도가 흐트러져 무릎 관절에 부담이 커집니다. 정기적인 관리만으로도 미끄러짐을 크게 줄일 수 있습니다.
4. 짧고 잦은 산책 대신 무리한 운동 시키지 않기
소형견 슬개골 탈구 예방에는 운동이 필요하지만, 과한 운동은 오히려 독이 됩니다. 짧고 규칙적인 산책이 적절하며, 갑작스러운 달리기나 미끄러운 곳에서의 공놀이 등은 관절에 부담을 줄 수 있습니다.
5. 체중 증가를 가볍게 보지 않기
강아지의 체중이 조금만 늘어도 무릎 관절에 가해지는 하중은 크게 증가합니다. 소형견일수록 체중 변화의 영향이 더 큽니다. 적정 체중 유지는 슬개골 탈구 관리의 기본입니다.
6. 다리를 들었다 내리는 행동을 그냥 넘기지 않기
잠깐 다리를 들었다가 다시 정상 보행으로 돌아오는 행동은 슬개골이 빠졌다가 다시 들어가는 신호일 수 있습니다. 이 단계에서 관리가 시작되면 수술 시기를 늦추거나 진행을 완화할 수 있습니다.
7. 정기적인 촉진 검사로 상태 확인하기
소형견 슬개골 탈구는 보행만으로는 판단하기 어렵습니다. 수의사의 촉진 검사를 통해 탈구 단계와 진행 여부를 정확히 확인하는 것이 중요합니다. 조기에 발견할수록 선택할 수 있는 치료 방법도 넓어집니다.
생활 관리만으로도 바꿀 수 있는 결과가 있습니다
강아지 슬개골탈구는 한 번 발생하면 완전히 되돌리기 어려운 질환입니다. 하지만 생활 습관을 조절하고 조기에 상태를 확인하면진행 속도를 늦추고 수술 시기를 조절할 수 있습니다. 잘 걷는다고 안심하기보다, 관절 상태를 한 번 더 확인하는 것이 아이의 관절 건강을 지키는 첫걸음입니다.

반려동물 외과 수술 전문, 분당 미래동물의료센터
대학병원 출신 의료진의 분과별 전문 진료 시스템을 갖춘 미래동물의료센터는 관절 질환으로 불편함을 겪는 반려견에게 정확한 평가와 체계적인 치료 방향을 제시합니다. 미래동물의료센터는 소중한 아이들의 행복한 미래를 위하여 오늘도 최선을 다하고 있습니다.
슬개골 탈구, 전십자인대 손상, 고관절 질환 등 다양한 정형외과 문제에 대해 세밀한 진단과 아이의 상태에 맞춘 개별 치료 전략을 마련하며, 불필요한 통증을 최소화하고 기능 회복을 돕는 것을 가장 중요한 목표로 삼고 있습니다.
반려견의 관절 건강, 오늘의 선택이 미래의 삶을 바꿉니다.
미래동물의료센터가 그 길을 함께하겠습니다.
📍 분당 미래동물의료센터
주소: 경기 성남시 분당구 서현로255번길 1
전화번호: 031-705-2475
진료시간 — 365일 연중무휴
· 일반진료: 오전 9시 30분 ~ 오후 8시 30분
· 응급진료: 오후 8시 30분 ~ 오후 11시