안녕하세요. 분당 동물병원 미래동물의료센터입니다. 

강아지 슬개골 탈구 수술은 무릎 구조를 바로잡는 중요한 치료입니다. 하지만 수술이 끝났다고 관리가 끝나는 것은 아닙니다. 수술 후 관리가 제대로 이뤄지지 않으면 재탈구나 관절 불안정, 반대쪽 다리 부담으로 이어질 수 있습니다. 오늘은 실제 수술 케이스를 바탕으로 슬개골 탈구 수술 후 재발률을 낮추는 핵심 관리 루틴 5가지를 살펴보겠습니다.

강아지 슬개골 탈구 관리가 중요한 이유

강아지 슬개골 탈구는 무릎뼈가 제 위치를 벗어나는 질환으로, 유전적 요인의 영향을 크게 받는 정형외과 질환입니다. 포메라니안, 말티즈, 푸들 등 소형견에서 흔하게 발생합니다.

슬개골 탈구는 유전적인 요인이 가장 크게 작용하는 질환이지만, 성장 과정이나 생활 환경에 따라 후천적으로도 발생할 수 있습니다. 특히 비만이나 다른 관절 질환이 동반된 경우, 슬개골 탈구의 발생과 진행 위험이 더욱 높아질 수 있습니다.

겉으로 잘 걷는다고 안심하면 위험한 이유

슬개골 탈구는 초기에는 통증으로 절뚝거림을 보이지만, 질환이 진행되면서 통증에 적응해 비교적 정상 보행처럼 보이는 경우도 많습니다. 이 때문에 보호자분들께서 “잘 걷는 것 같아서 괜찮은 줄 알았어요” 라고 말씀하시는 경우가 많은데, 이는 슬개골 탈구에서 가장 주의해야 할 신호 중 하나입니다.

겉으로 보이는 걸음걸이만으로는 슬개골의 위치와 관절 안정성을 정확히 판단할 수 없기 때문에, 수의사의 촉진 검사와 엑스레이를 통한 객관적인 평가가 반드시 필요합니다.

관리하지 않으면 생길 수 있는 합병증들

슬개골 탈구가 적절히 관리되지 않고 3–4기 이상으로 진행될 경우, 단순한 무릎 문제를 넘어 다음과 같은 합병증으로 이어질 수 있습니다.

4기 상태에서 수술을 진행하는 경우, 이미 구조적 변형이 크게 진행된 상태이기 때문에 수술이 잘 이루어지더라도 재탈구 위험이 상대적으로 높아질 수 있습니다.

이러한 이유로 슬개골 탈구는 증상이 가볍게 보일 때부터 조기 진단과 단계적인 관리, 그리고 수술 후 철저한 관리 루틴이 무엇보다 중요합니다.

실제 수술 케이스로 보는 수술 후 관리의 중요성

환자는 7살의 중성화 수컷 포메라니안으로, 간헐적인 절뚝거림 증상을 보여 정확한 진단을 위해 미래동물의료센터에 내원했습니다. 보호자분께서는 타 병원에서 이미 양측 슬개골 상태가 좋지 않다는 설명을 들은 적이 있다고 하셨습니다.

내원 후 기본적인 신체검사(체온, 청진 등) 를 진행했으며, 전반적인 컨디션에서는 큰 이상 소견은 확인되지 않았습니다.

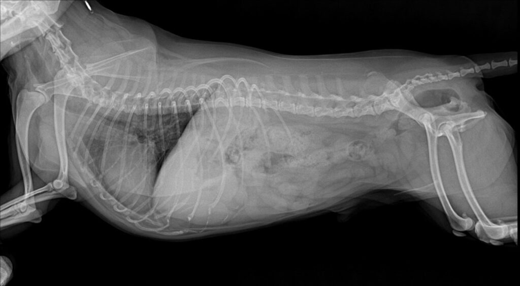
슬개골 촉진 검사에서 양측 슬개골 모두 내측 탈구가 확인되었고, 우측은 2–3기, 좌측은 4기로 진단되었습니다. 엑스레이 검사에서도 무릎뼈가 대퇴골 고랑을 벗어나 내측에 위치한 모습이 명확히 관찰되었습니다.

수술 전 X-ray 사진 / 출처: 미래동물의료센터

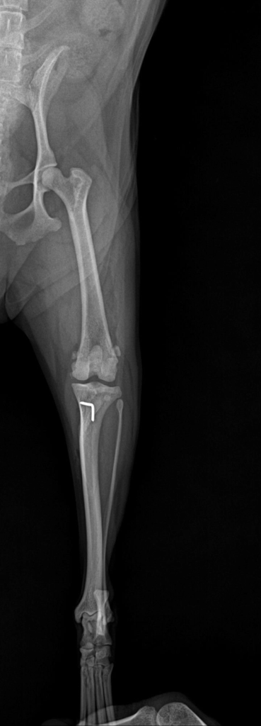
환자는좌측 슬개골 탈구의 진행 정도가 매우 심한 상태였기 때문에 보호자 상담 후 좌측 슬개골 탈구 수술을 진행하기로 결정했습니다. 수술 전에는 마취 전 혈액검사와 흉부 방사선 검사 실시하였습니다. 

수술 전 방사선사진 / 출처: 미래동물의료센터

수술 전 방사선사진 / 출처: 미래동물의료센터

 다행히 모두 마취에 적합한 양호한 결과를 보였습니다.
충분한 수액 처치 후 호흡 마취 하에 수술을 진행했습니다.

환자에게 시행된 수술은 단순 정복이 아닌, 슬개골 탈구의 구조적 원인을 교정하는 수술이었습니다.

1️⃣ 활차구 성형술

얕아진 대퇴골 고랑을 깊게 만들어 슬개골이 다시 빠지지 않도록 안정성을 확보했습니다.

2️⃣ 경골조면이식술

정강이뼈의 정렬을 바로잡아
슬개골에 가해지는 비정상적인 힘을 교정했습니다.

수술 전 무릎고랑 사진(좌, 중) / 수술 후 깊어진 무릎고랑 사진(우) / 출처: 미래동물의료센터

수술은 전반적으로 안정적으로 진행되었고, 마취 회복 역시 큰 문제 없이 이루어졌습니다.

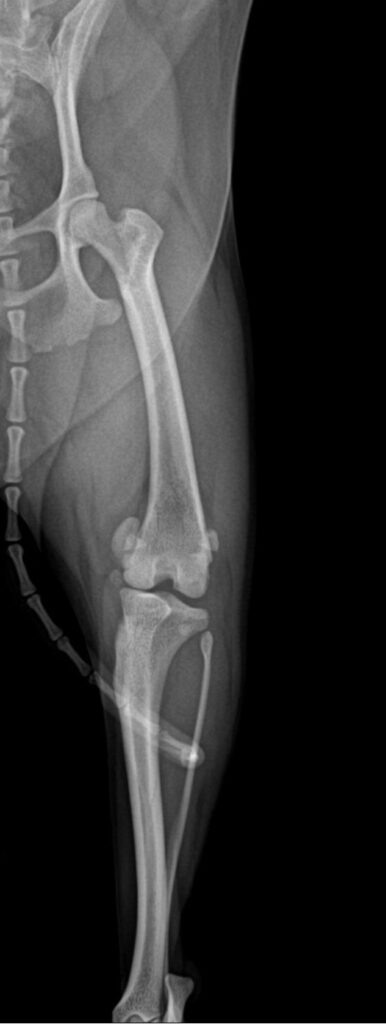
수술 후 엑스레이에서는 슬개골이 정상적으로 대퇴골 고랑 안에 안정적으로 위치한 것이 확인되었습니다.

수술 후 x-ray 사진 / 출처: 미래동물의료센터

수술 후 촬영한 엑스레이에서 수술 전에는 내측으로 벗어나 있던 슬개골이 대퇴골 고랑 안에 정상적으로, 안정적으로 위치해 있는 것이 확인되었습니다.

이는 수술의 구조적 교정이 잘 이루어졌다는 중요한 지표입니다. 환자는 입원 치료를 마친 뒤 무사히 퇴원했고, 현재는 통원 치료와 회복 과정을 안정적으로 이어가고 있습니다.

고생 많았어
앞으로도 건강하게 오래오래 지내자.

재발률을 낮추는 핵심 루틴 5가지

1. 통증 관리와 충분한 입원 회복

슬개골 탈구 수술은 뼈를 직접 교정하는 수술입니다. 수술 직후에는통증 관리가 매우 중요합니다. 입원 기간 동안 진통제와 상태 모니터링을 통해 불필요한 통증과 과도한 움직임을 줄여야 회복이 안정적으로 시작됩니다.

2. 최소 6–8주간 운동 제한

수술 후 초기에는 관절이 완전히 안정되지 않은 상태입니다. 짧은 실내 보행 외 점프, 계단, 격한 놀이를 제한해야 하며, 회복 단계에 맞춰 가벼운 산책으로 점진적으로 늘려야 합니다. 이 시기의 무리한 활동은 재탈구의 가장 큰 원인이 됩니다.

3. 미끄럼 방지 환경 유지

수술 후 미끄러운 바닥은 관절에 회전력을 가해 수술 부위에 부담을 줍니다. 실내에서는 미끄럼 방지 매트 사용이 필수이며, 소파나 침대는 당분간 오르내리지 않도록 관리해야 합니다.

4. 체중 관리와 근육 회복

체중이 증가하면 무릎 관절에 가해지는 하중이 커집니다. 적정 체중을 유지하면서 회복 단계에 맞는 재활 운동을 병행하면
관절 안정성과 근육 지지력이 함께 향상됩니다. 체중 관리는 재발 예방의 기본입니다.

5. 정기적인 검진과 반대쪽 다리 관찰

한쪽 슬개골 탈구 수술 후에는 반대쪽 다리에 부담이 집중되기 쉽습니다. 정기적인 촉진 검사와 필요 시 엑스레이 검사를 통해 관절 상태 변화를 조기에 확인하는 것이 중요합니다. 초기 변화만 잡아도 추가 수술을 피할 수 있는 경우가 많습니다.

강아지 슬개골 탈구 수술, 이후 관리가 결과를 좌우합니다

강아지 슬개골 탈구는 잘 걷는다고 해서 문제가 없는 질환이 아닙니다. 3–4기로 진행될수록 십자인대 파열이나 관절 변형이 동반될 가능성이 높아집니다. 수술 이후의 관리가 아이의 평생 보행과 삶의 질을 결정짓는 중요한 과정이 됩니다.

반려동물 외과 수술 전문, 분당 미래동물의료센터

대학병원 출신 의료진의 분과별 전문 진료 시스템을 갖춘 미래동물의료센터는 관절 질환으로 불편함을 겪는 반려견에게 정확한 평가와 체계적인 치료 방향을 제시합니다. 미래동물의료센터는 소중한 아이들의 행복한 미래를 위하여 오늘도 최선을 다하고 있습니다.

슬개골 탈구, 전십자인대 손상, 고관절 질환 등 다양한 정형외과 문제에 대해 세밀한 진단과 아이의 상태에 맞춘 개별 치료 전략을 마련하며, 불필요한 통증을 최소화하고 기능 회복을 돕는 것을 가장 중요한 목표로 삼고 있습니다.

반려견의 관절 건강, 오늘의 선택이 미래의 삶을 바꿉니다.
미래동물의료센터가 그 길을 함께하겠습니다.

📍 분당 미래동물의료센터

주소: 경기 성남시 분당구 서현로255번길 1
전화번호: 031-705-2475
진료시간 — 365일 연중무휴
· 일반진료: 오전 9시 30분 ~ 오후 8시 30분
· 응급진료: 오후 8시 30분 ~ 오후 11시

글쓴이